Apotheek Meysen Peer 3990 Peer : Home > Oplossingen A-Z - Longfibrose

Longfibrose

Longfibrose

Longfibrose is een chronische aandoening waarbij er bindweefsel, of littekenweefsel, gevormd wordt in de longen. De aandoening is agressief. Het is belangrijk om de ziekte in een vroeg stadium vast te stellen en snel met een behandeling te starten.

Specifieke vragen?
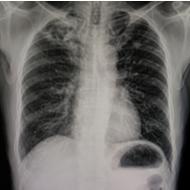
Wat is longfibrose?

Longfibrose is een chronische aandoening waarbij er bindweefsel, of littekenweefsel, gevormd wordt in de longen. Het gevolg is dat de wand van de longen dikker wordt en het lichaam onvoldoende zuurstof kan opnemen.

Typische symptomen zijn:

  • kortademigheid;
  • droge hoest;
  • benauwdheid;
  • vermoeidheid, weinig energie.

In een later stadium kunnen de nagels en vingers misvormd raken. In het begin treedt kortademigheid en vermoeidheid voornamelijk op bij inspanning. Na verloop van tijd treden deze klachten ook op in rust.  

Het verloop van de aandoening kan sterk variëren van persoon tot persoon. Klachten kunnen lange tijd stabiel blijven maar ook op korte tijd sterk toenemen.

De schade aan de longen kan niet hersteld worden. Bij een snelle diagnose kan de ziekte bij een deel van de patiënten wel afgeremd worden met geneesmiddelen.

Lees meer

Lees minder

Stoppen met roken

Stoppen met roken is essentieel bij hart-en vaatziekten. Maar ook heel wat andere ziektes zoals ziekte van Crohn, alzheimer, cataract, reumathoide artritis, psoriasis en nog vele andere komen vaker voor bij rokers.
De lichamelijke ontwenningsverschijnselen van het stoppen met roken kan je onderdrukken met nicotinevervangende geneesmiddelen. Deze geven nicotine (dit is de stof die verantwoordelijk is voor de verslaving) vrij aan het lichaam. De nicotine werkt in op de nicotine-receptoren (een soort van ontvangertjes) in ons lichaam zoals sigaretten ook doen. Op deze manier verminderen deze middelen de ontwenningsverschijnselen. Ze worden meestal in een stappenplan toegepast. Zo vermindert de toegediende nicotine stap voor stap. Hierdoor daalt het aantal nicotine-receptoren geleidelijk en heb je steeds minder behoefte aan nicotine en een sigaret.
De nicotine-bevattende geneesmiddelen zijn verkrijgbaar in verschillende vormen. Laat je adviseren door je apotheker!

Toon meer producten
Toon minder producten
Contactformulier
Voornaam:
     
Achternaam:
     
Email:
     
Jouw vraag / opmerking:
     

Populaire productcategorieën